無料カウンセリング実施中
- インプラント治療
- 小児矯正・矯正歯科
- 審美セラミック治療
- 受付・お問合わせ
06-6387-3933
- 無料カウンセリング受付
0120-393-308
- 診療時間
- 9:30~13:00 / 14:30~18:30
土曜 9:00~14:30
木曜は、自由診療日(特診日)です。 - 休診日
- 日曜 / 祝日

理念・信念
一人ひとりに安全・正確な治療で
患者様に幸せな時間を提供します
患者様が歯科治療で幸せな時間を少しでも長く過ごしていただきたい。そのために最も最適・最良な歯科治療を提案致します。
「慎始敬終」とは物事と最初から最後まで気を抜かず、手抜きせずにやり直すこと。
歯科治療では、口の中は1つで全てがつなっがているので、どこかで手を抜けば長期的に安全な歯科治療を行うことはできない。最初の診査・診断から治療終了まで「慎始敬終」をコンセプトに治療を行います。

当院の特徴

専門医・専修医2つの資格を持つ数少ないドクター
「千里山駅前歯科」の院長は「日本補綴歯科学会 専門医」「日本口腔インプラント学会 専修医」の2つの専門資格を持っています。専門性の非常に高いインプラント治療では、専門的な知識と高度な技術が要求されます。一般歯科の治療経験だけでなく、外科的手術の経験も十分に積んでいます。

電車で通える立地の良い歯科医院
当院は阪急千里山線「千里山駅」より徒歩30秒の位置にありますので仕事終わりの方や遠方からお越しの方も、気軽に通える環境です。
満車の場合は、近隣の駐車場をご利用ください。駐車場の領収書をご提示いただければ、料金をお支払いいたします。

平日18:30まで 土曜日も診療
日頃お仕事の帰りが遅く、平日に歯医者にいくことができない患者様のために、平日は18:30まで診療しております。
また土曜も14:30まで診療をしておりますので平日に時間が取れない患者様もぜひご利用下さい。
診療案内

インプラント治療
歯を失った場合に行なう治療の一つであるインプラント。
以前からある入れ歯やブリッジに次ぐ治療法として、よく耳にするようになりました。入れ歯やブリッジとは違ったメリットがあるインプラントを選択肢としてご検討してみるのも良いかもしれません。
当院のHPでは、インプラント治療の気になる費用やメリット・デメリット、インプラントの手術の種類、よくある質問などをわかりやすくまとめています。
-
患者様のライフスタイルに合わせ
インプラント専門医院が選び抜いたジェネリックインプラント
白いジルコニアの
被せ物を含めて38.5万円〜(税込) -
最小限のインプラントの本数で
最大限のパフォーマンスオールオン4
198万円〜(税込)
-
カウンセリング、口腔内診査
レントゲン撮影、CT撮影初回無料
-
高度な治療技術で
手術回数を少なくできる抜歯即時埋入
-
インプラント治療に
ついて詳しく見る
-
インプラントの
治療の流れ詳しく見る
-
インプラントの
手術について詳しく見る
-
審美性の追求
詳しく見る
-
歯科用CTによる検査
詳しく見る
-
他院でインプラントを
断られた方詳しく見る
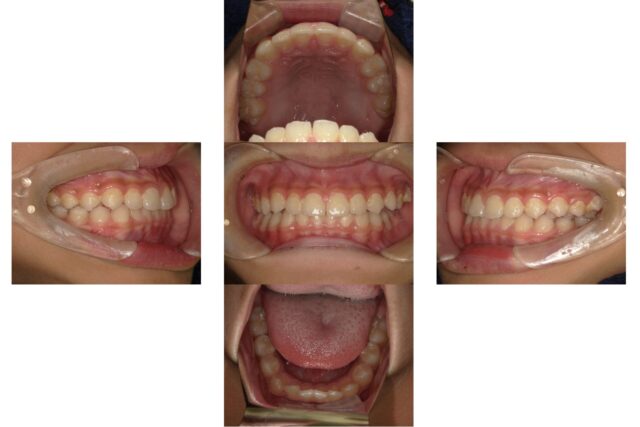
吹田市からお越しの「前歯のガタガタが気になる6歳の小児矯正(Ⅰ期治療)」

Before

After
| 通院時の年齢 | 6歳・女性 |
|---|---|
| 通院回数 | 3年 |
| 通院目的 | 上下の前歯が重なって生えてきた/歯磨きがしにくい。 上下顎の幅が狭く、前歯が並ぶためのスペースが不足。 前歯が重なっているため、磨き残しが増えやすい状態。 |
| 処置内容 | 【診断】 上下顎狭窄(上あごが細い) •叢生(歯が並ぶ場所が足りない) → このまま永久歯が生え進むと、ガタガタが増える/抜歯矯正になる可能性が高いと判断。 【治療方針】 上下顎の幅を広げてスペースを作る 1. 永久歯が生える“道”を整える 2. 将来の抜歯や治療負担を減らす 【治療内容】 ・拡大装置で上下顎を拡大 ・通院:4〜5週ごと (約1か月おき) ・家庭での協力:装置の使用時間(取り外し式なら)+清掃 【経過】 ・6か月:前歯の重なりが緩和、歯磨きしやすさ改善 ・12〜18か月:スペース確保が進み、前歯の並びが整う 【結果】 前歯のガタガタが改善し、永久歯が並ぶための土台ができた。 見た目だけでなく、磨き残しリスクが減り、将来的な矯正負担を軽くできる可能性が高まった。 |
| 費用 | ※備考に記載 |
| デメリット | ・装置装着初期の違和感・痛み ・清掃不良による虫歯/歯肉炎リスク ・成長や習癖により追加治療が必要になる場合 ・永久歯列完成後にⅡ期治療が必要なことがある |
| 備考 | 検査料:¥0 矯正治療 材料費 ¥440,000 (税込) 月1回の管理費 ¥4,400(税込) ※全ての装置の費用が含まれます。 ※別途保険診療の費用(定期検診や虫歯治療) --- “歯を動かす”より先に、“顎のスペース不足”を解決した症例です。 混合歯列期は、将来の難易度を下げるための介入がしやすい時期です。 |

院長あいさつ
歯科医院を開業するにあたり、大阪大学在学中に過ごした北摂で、地域の方々に適切な治療と予防を提供していきたいと思っております。
地域の皆様の、お口の健康を守るホームドクターとして、皆様に愛されるような歯科医院作りを目指しています。
また常に最新で安全な世界標準レベルでの治療を提供できるようにしております。
何かお困りの事や気になる事があれば、気軽にお立ち寄りください。
千里山駅前歯科
院長 中川敬史
-
日本口腔インプラント学会
専修医日本口腔インプラント学会の専修医はインプラント治療の
知識・経験が豊富で、一定の条件を満たしている歯科医師に
与えられる資格です。 -
日本補綴歯科学会
専門医日本補綴歯科学会の専門医は、補綴歯科の専門的知識と技術を
持ち、高い水準の歯科医療を行えます。 -
大阪大学歯学研究科大学院
歯学博士2015年に国立大学大学院歯学研究科を卒業し、
歯学博士を取得しています。 -
国立徳島大学附属病院
元助教2016年に国立大学徳島大学附属病院の
助教として就任していました。 -
大阪大学口腔補綴科
インプラントチーム所属 -
徳島大学インプラント
カンファレンス所属
ブログ
- 住所
- 〒565-0842
大阪府吹田市千里山東2丁目27番9-101号
AVENSIS千里山1階 - 診療時間
- 9:30~13:00 / 14:30~18:30
土曜 9:00~14:30
木曜は、自由診療日(特診日)です。 - 休診日
- 日曜 / 祝日
