もっと
早く始めればよかったと
後悔する前に
永久歯が揃ってからでは遅い!
負担が少ない目立たない矯正治療はできる年齢が
限られているのをご存知ですか?
歯が綺麗に並ぶかガタガタになるかは、実は5~7歳で分かります。
なぜなら、歯が並ぶかどうかは、顎の成長の問題だからです。顎の成長は8歳でほとんど終わってしまいます。
つまり、8歳以降で歯並びが良くなることはありません。
良いお顔つきはお子さんへの数少ない一生もののプレゼントです。
年齢が過ぎてしまい、後悔することがないように、まずはお気軽にご相談ください。
お子さまに安心して
通っていただくために
お口のことを
知ってもらいます
お子さまにとっては歯医者は怖いところ・・・そのようなイメージにならないように
当院ではまず、自分のお口の事をしっかり知ってもらいます。
自分の歯の本数、歯みがきの後にどれくらい磨き残しがあるか、病気のリスクがどれくらいあるのか…
自分の体のことなのに、大人でも意外と知らないことが多くあると思います。
子どもの内からお口を知ることで
むし歯の予防につながります。
むし歯や歯周病などの病気の主な原因はお口の中に溜まった歯垢(プラーク)や歯石です。
それらを取り除く方法は、歯科医院のクリーニングか、患者様の歯磨きです。
歯科医院で受けるクリーニングは年に数回。それに対して、患者さまは年に365日歯を磨いており、歯科医院よりも300回以上歯を守るきっかけを持っているのです。
だからこそ、子どもの内から私たち歯科医院が患者様にお口を守る方法をお伝えし、お子さまに知っていただく。そしてそれを実践していただき、大人になっても健康なお口を維持し、快適な生活を送って欲しいと考えております。
矯正無料相談・無料検査を
行っております
お電話でのお問い合わせも承ります。
お気軽にご連絡ください。
- 受付時間
- 9:30~13:00 / 14:30~18:30
※土曜 9:00~14:30 - 休診日
- 日曜/祝日
早く相談すれば良かった
2大後悔ポイント
歯が綺麗に並ぶかどうかは顎の成長の問題です。
顎の成長は8歳を目途にほとんど終わってしまいます。
8歳以降で、自然に歯並びが良くなることはありません。
「まだ成長途中だから、そのうちキレイに並ぶのでは・・・」そう思っていた多くのご家族が、
10歳頃から慌てて治療することになった時に後悔されています。
-
01
永久歯の抜歯
実は、4~6割の子どもが矯正治療のため、
永久歯を抜歯する必要が発生するのです。 -
02
装置による痛み
金属の器具は痛みやすいです。
また、目立つのでコンプレックスになってしまう可能性もあります。
大人の矯正と
何が違うの?
11歳以降だと治療期間は2倍以上も長くなることがあります。
更に、費用などにも大きな差が出てきます。
横にスクロールできます
| 10歳までに治療を 開始した場合 |
11歳以降に治療を 開始した場合 |
|
|---|---|---|
| 目立ちにくさ | 目立たない | 目立つ |
| 痛み | ほとんどなし | 痛みやすい |
| 永久歯の抜歯 | ほとんどなし | 40~60%で必要 |
| 治療費 | 20~45万円 | 70~100万円 |
| 治療期間 | 2年~2年半 | 2~4年 |
| むし歯の心配 | リスクが低い | リスクが高まる |
症例紹介
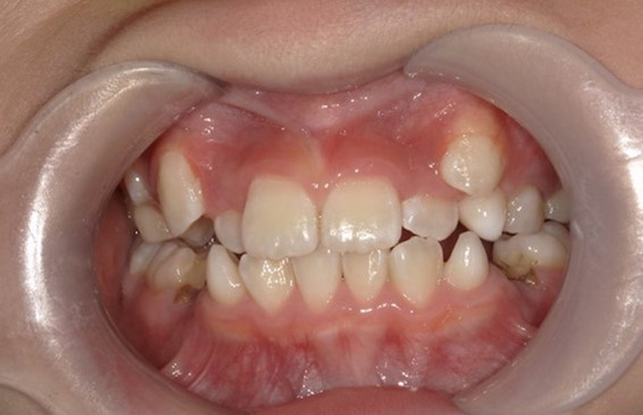
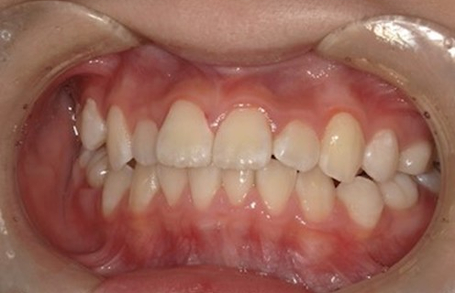
7歳女の子「歯がガタガタしてきた」という症状で小児矯正治療で来院の患者様
Before

After

症例情報
| 症状 | どんどん歯がガタガタしてきた。お母様が歯並びを心配されていた。 |
|---|---|
| 年齢・性別 | 7歳・女性 |
| 治療期間 | 1.6年(その後経過観察へ) |
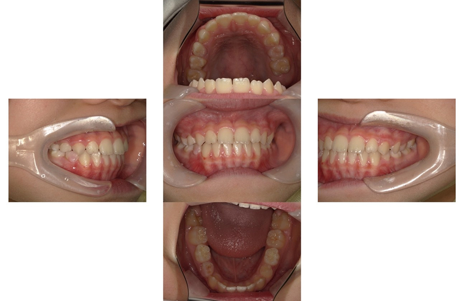
| 治療方法 | 診断名:上下顎叢生歯列弓 年齢:6歳スタート〜7.5歳 経過 治療に用いた装置:上下拡大床(弾線付き・指様弾線付き) 斜面板 ※全て取り外し管理可能な装置です。夜間に主に使用。 抜歯部位:なし 治療期間:1.6年 患者様の声:親である自分の歯ががたがたなので心配だった。 これなら大人の歯が入りそうで安心した。 取り外せるので歯ブラシしやすい。虫歯の心配が少なくてよかった。 |
| 費用 | ※治療内訳備考に記載 |
| デメリット・注意点 | 定期的なチェックが必要です。 小児矯正は自由診療です。 初めて装置を装着した時、個人差はありますが、違和感や咬むと痛みを感じることがあります。 リテーナー(保定装置)を使わずに放っておくと、治療前の状態に後戻りすることがあります。 |
| 備考 | 検査料:¥0 分析料:¥0 小児矯正装置 ¥440,000(税込) 毎月の調整料 ¥4,400(税込) ※月2回目以降は無料。 別途保険診療の費用 |
6歳女性の八重歯(上下顎叢生)・上突咬合
Before

After

症例情報
| 症状 | 小さい頃から歯がジグざくしていた。八重歯。見た目が気になる。物がはさまる。 ※かかりつけ医では矯正を行っていない。 |
|---|---|
| 年齢・性別 | 6歳・女性 |
| 治療期間 | 2年半 |
| 治療方法 | 診断名:上突咬合・上下顎叢生歯列弓 年齢:6歳スタート〜8.5歳 経過 治療に用いた装置:上下拡大床(弾線付き) 挙上板 ※全て取り外し管理可能な装置です。夜間に主に使用。 抜歯部位:なし 治療期間:2.5年 患者様の声: 抜歯せずに八重歯が治ってよかった。装置も取り外しできるので清潔に管理できてよかった。固定式のように虫歯にならなくてよかった。 |
| 費用 | ※治療内訳備考に記載 |
| デメリット・注意点 | 定期的なチェックが必要です。小児矯正は自由診療です。 初めて装置を装着した時、個人差はありますが、違和感や咬むと痛みを感じることがあります。 リテーナー(保定装置)を使わずに放っておくと、治療前の状態に後戻りすることがあります。 |
| 備考 | 検査料:¥0 分析料:¥0 小児矯正装置 ¥440,000(税込) 毎月の調整料 ¥4400 (税込) ※月2回目以降は無料。 別途保険診療の費用 |
6歳 男の子 歯が反対になった。シャクれてきた。
Before

After

症例情報
| 症状 | 歯が反対に生えてきた。シャクれてきた。歯並びがガタガタしてきた。 |
|---|---|
| 年齢・性別 | 6歳・男性 |
| 治療期間 | 2.5年(その後経過観察へ) |
| 治療方法 | 診断名:反対咬合 下顎前突 年齢:6歳スタート〜8.5歳 経過 治療に用いた装置:上下拡大床(弾線付き)・フェイスマスク・リンガルアーチ ※一部固定装置と取り外し管理可能な装置を併用使用。 抜歯部位:なし 治療期間:2.5年 患者様の声: 前歯は見た目にも目立つので、治って安心した。 抜歯せずにすんでよかった。 |
| 費用 | ※治療内訳備考に記載 |
| デメリット・注意点 | 定期的なチェックが必要です。 小児矯正は自由診療です。 初めて装置を装着した時、個人差はありますが、違和感や咬むと痛みを感じることがあります。 リテーナー(保定装置)を使わずに放っておくと、治療前の状態に後戻りすることがあります。 |
| 備考 | 検査料:¥0 分析料:¥0 小児矯正装置 ¥440,000(税込) 毎月の調整料 ¥4,400 (税込) ※月2回目以降は無料。 別途保険診療の費用 |
子どものうちから
矯正治療を始める
5つのメリット
治療開始時期を見逃さない
歯の生え方や顎の成長具合など、矯正を始める最適な時期はお子様によって様々です。そのため、矯正の検診を幼い頃から受けることで、適切な矯正時期を見逃さずに治療ができます。
大人の矯正に比べ痛みが少ない
子どもの骨は軟らかく、これは歯を支える骨においても同様です。その特性から大人になってからの矯正に比べ、痛みを抑えることができ効率的に歯を動かすことが可能です。
抜歯の可能性が低くなる
大人の矯正では顎に十分な大きさが足らず歯並びが乱れている場合、抜歯をしてスペースを作る必要があります。しかし、お子様の矯正は顎の成長を利用し、最適な顎の位置や大きさに導くことができますので抜歯の可能性が低くなります。
口腔内の清潔を保てる
矯正中は定期的に歯科医院にお越しいただきますが、その際に虫歯の検診も行いますので虫歯予防にも繋がります。また、矯正治療後の整った歯並びは歯みがきがしやすく、大人になってからも虫歯・歯周病に強いお口づくりができます。
全身の健康な発育に繋がる
幼少期における筋肉と骨の成長は早く、この時期の噛み合せは顔全体の形成に影響します。つまり、早い時期から矯正を始め理想的な噛みあわせにすることは、見た目だけでなく顎関節の機能や呼吸方法などを正常に発育させることに繋がります。
治療開始までの流れ
当院では月1回矯正日を設けて、矯正専門医が矯正治療に対応いたします。
まずは矯正相談にてお悩みをお聞かせください。矯正専門医がお悩みや疑問にお答えします。ご相談にて治療開始をご判断されましたら、後日、通常の診療日に精密検査を行います。この検査結果を基に矯正専門医が診断いたします。 診断で費用等詳しくご説明いたしますので、ご納得いただけましたら、次回矯正日に同意書等にサインを頂き治療開始です。
詳しい治療の流れ
-
5回目以降のご来院 治療中
(矯正日)
治療中は2ヶ月に1回、矯正日にご来院いただきます。
その他の治療は、通常の診療日でも治療可能です。
※治療開始までに期間が開きすぎる場合は、正確な治療のために再度検査が必要なことがあります。
よくあるご質問
- 治療期間はどれくらいですか?
- 治療に協力的であれば平均2年です。
- まだ永久歯があまり生えていません。治療には早いのでしょうか?
- 早くありません。治療開始におすすめしている年齢は5~8歳です。
その年齢ではみんな永久歯はあまり生えていませんが問題ありません。
永久歯が生えそろってからでは治療が複雑で難しくなってしまうことが多いです。 - 痛みはありますか?
- 全く痛くないと言えないですが、大人の針金を使用する矯正に比べると、自分で取り外しができるため問題になりません。
- 顔の形は変わりませんか?
- 拡大できるのは歯槽骨(歯の土台の骨)だけです。つまり、顔の輪郭に関係する骨には影響がありません。
あくまで顎の成長が遅れている分を手助けするだけです。 - 割れないですか?
- 簡単には割れません。ただし噛んだり、踏んだりすると割れてしまうことがあります。
犬を飼っている人は犬に噛まれて壊れることがあるので要注意です。 - 失くしたらどうなりますか?
- 最初から作り直しになるので新たに型取りが必要になります。
型取り料と装置代金もかかってしまいます。失くさないように注意してください。 - ネジを回すタイミングはいつですか?
- 週に1回90度が目安です。2日で45度。3日で30度と加減しながら進めていきます。
また月1回の診察日には拡大のスピードを診ながらその都度ペースを指導させていただきます。 - いつ付けたら良いですか?
- 基本は寝ている時に8時間以上装着してください。理想は起きている時に1時間、寝ている時に9時間の計10時間が理想です。
食べる時や学校へ行く時は外してください。最初は10分間入れるところからスタートです。 - 何年するんですか?
- 90%の人が1年から2年間続けることになります。
しかし、より長期間装着して拡げたくても歯が生え代わってしまってできなくなる人もいます。
逆に十分拡がっていると思っても生え代わりが遅く、後戻り防止目的で付け続ける必要がある人もいます。
まずはお気軽に
ご相談ください
無料相談お申込みダイヤル
0120-393-308- 診療時間
- 9:30~13:00 / 14:30~18:30
土曜 9:00~14:30
矯正無料相談のお問い合わせ、お申込みは
お電話もしくは、スタッフに「矯正無料相談」とお声掛けください。
相談の日程を決めさせていただき、ご来院日を決定いたします。