症例紹介
カテゴリー:
インプラント(複数本)
インプラント/インプラント(前歯)/インプラント(複数本)
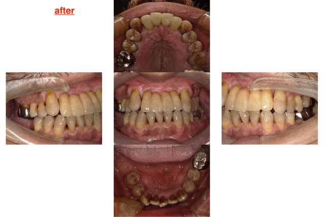
吹田市からお越しの70歳女性 歯が動いてる。しっかりかめない。食事できない。

Before

After
| 症状 | こちらの患者様は、長年の歯周病により患者様は 「歯がグラグラしてしっかり噛めない」 「入れ歯には抵抗がある」 というお悩みで来院されました。 歯がグラグラなので、噛み合わせのバランスも崩れ始めていました。 |
|---|---|
| 年齢・性別 | 70歳・女性 |
| 治療期間 | 6か月 |
| 治療方法 | 【治療前の状態】 ・奥歯を1本欠損 ・周囲の歯や歯ぐきは炎症状態。 ・ブリッジでは健康な歯を削る必要がある状態・入れ歯は 抵抗がある。 →レントゲン・CT検査を行い、骨の量・質ともにインプラント治療が可能と判断しました。 【治療内容】 ・インプラント:2本埋入+骨造成 ※抜歯と同日に行った。仮歯も当日に装着。 ・治療期間:約4〜5か月 手術は局所麻酔で行い、術中・術後ともに強い痛みはなく、翌日から通常の生活を送っていただけました。 |
| 費用 | ※治療内訳備考に記載 |
| デメリット・注意点 | 定期的なチェックが必要。 |
| 備考 | 検査料:¥20,000 インプラント治療(ジェネリック) ¥440,000 × 2 (税込) 骨造成 ¥110,000 × 2(税込) 10年保証 (全国対応) ¥35,000 × 2 (税込) 別途保険診療の費用(定期検診や歯周病治療) |
インプラント/インプラント(複数本)/オールオン4、6
吹田市からお越しの70歳女性・歯がガタガタしてる。しっかりかめない。食事できない。

Before

After
| 症状 | こちらの患者様は、長年の歯周病により •歯がグラグラして噛めない •何本も歯を失っている •食事や会話が不安 •入れ歯はできるだけ避けたい というお悩みで来院されました。。 |
|---|---|
| 年齢・性別 | 70歳・女性 |
| 治療期間 | 0.5年 |
| 治療方法 | 背景) ずっとその場しのぎで治療していたが最近かかりつけ医に無理と言われた。ショックで食事ができなくなり。友達とも出かけるのに不便。思い切ってオールオン4を考えてきた。 治療方針) 検査の結果、残っている歯も重度の歯周病により保存が難しく、将来的な再発や痛みのリスクを考慮し、オールオン4治療をご提案しました。 治療の流れ歯周病で歯を失った場合でも、顎の骨の状態をしっかり診断したうえで、4本のインプラントを適切な位置と角度で埋入。 骨の量を有効に活かすことで、大きな骨移植を行わずに治療を進めることができました。 手術当日には仮歯を装着し、見た目と噛む機能を早期に回復しています。 ________________________________________ 経過)治療後は o 硬いものも噛めるようになった o 食事が楽しくなった o 見た目に自信が持てるようになった と、患者様にも大変ご満足いただいています。 |
| 費用 | ※治療内訳備考に記載 |
| デメリット・注意点 | 定期的なチェックが必要。 |
| 備考 | 検査料:¥0 オールオン4治療(ジェネリック) ¥1,800,000×1(税込) 静脈内鎮静(眠ったまま治療麻酔) ¥110,000×1(税込) 10年保証 (全国対応) ¥165,000×1(税込) 別途保険診療の費用 |
インプラント/インプラント(奥歯)/インプラント(複数本)
箕面市からお越しの72歳男性 歯がボロボロで食事がしにくい。インプラント治療希望で来院の患者様

Before

After
| 症状 | 歯がボロボロで食事がしにくい。 |
|---|---|
| 年齢・性別 | 72歳・男性 |
| 治療期間 | 10か月 |
| 治療方法 | ・インプラント治療、歯周病 背景) 昔から歯が悪く、どんどんボロボロになってきた。かかりつけ医では骨がない・噛み合わせが 難しいので治療・インプラント治療を断られた。 治療方針) ①見た目を改善する。 ②食事のできる、噛み合わせの分析・考慮する ③①に対してインプラント治療を行い、噛み合わせ改善による早期の機能回復を行う。 上記内容を考慮して、 義歯治療とインプラント治療をおこなった。 患者様は今まで奥歯がなく、本来の噛み合わせがどこかわからない状態だった。まず、はじめに正しい歯の位置を分析した。 結果の正しい位置に対してインプラントを埋入した。 上は歯が残せそうなので自身の歯をつかってブリッジ治療にて回復、下は義歯とインプラントを併用したインプラント義歯とした。 患者様は審美面・機能面も満足され、硬いものでも噛めるとのことです。 |
| 費用 | 治療内訳備考に記載 |
| デメリット・注意点 | 定期検診が必要 ナイトガードの装着は常に夜間必要 |
| 備考 | 検査料:¥0 インプラント治療(義歯用) ¥350,000×2 (税込) インプラント義歯 ¥440,000 x 1 (税込) 検査料 ¥33,000 (税込) 別途保険診療の費用 |
インプラント/インプラント(複数本)/審美歯科
吹田市からお越しの60歳女性 前歯がなくて噛めない、インプラント治療希望で来院の患者様

Before

After
| 症状 | 歯がなくて噛めない、食べにくい。 |
|---|---|
| 年齢・性別 | 60歳・女性 |
| 治療期間 | 4ヶ月 |
| 治療方法 | ・インプラント治療 ・審美治療 背景) 入れ歯治療をしたがよくならない。ずっと入れ歯をいれてない。 治療方針) ①機能回復が必要。②審美的な介入が必要 ③ ①②に対してインプラント治療を行い噛み合わせ改善による機能・審美回復を行う。 上記内容を考慮して、 治療を行うことにしました。 最終の形を患者様と一緒に決定し、インプラント治療を行うことになりました。 今回は埋入手術・骨造成を同時に行い、治療期間を短くしました。また、同時治療により外科的な侵襲が最小限にできます。 インプラントが骨に接合したのを確認後に、セラミックの歯を製作しました。 治療期間は4ヶ月でした。 患者様は審美面・機能面も満足され、硬いものでも噛めるとのことです。 |
| 費用 | ※治療内訳備考に記載 |
| デメリット・注意点 | 定期的なチェックが必要。 ナイトガードの装着は常に夜間必要。 |
| 備考 | 検査料:¥20,000 インプラント治療(ジェネリック) ¥300,000 × 3 (税込) 骨造成 ¥110,000 × 2 (税込) セラミッククラウン ¥110,000 × 2 (税込) 別途保険診療の費用 |
インプラント/インプラント(奥歯)/インプラント(複数本)/審美歯科
摂津市からお越しの60歳男性・「見た目が悪い/歯が動いて困る/話しにくい/食べにくい」との悩みでインプラント治療を受けられた患者様

Before

After
| 症状 | 見た目が悪い。歯が動いて困る。話しにくい、食べにくい。 |
|---|---|
| 年齢・性別 | 60歳・男性 |
| 治療期間 | 6ヶ月 |
| 治療方法 | ・インプラント治療 ・審美治療 ・歯周病治療 ・虫歯 (背景) 長くホテル業に勤めている。来年、昇進して写真などとる機会が増える。このままでは困るので治療して欲しい。 (治療方針) ①審美・機能回復が必要。 ②接客業なので外科処置は最小限にとどめる。 ③虫歯・歯周病治療を並行し行う。 上記内容を考慮して、 見た目と機能を考慮した治療を行うことにしました。 まず、所定の位置にインプラントの埋入を行いました。今回は抜歯即時・骨造成を同時に行い、治療期間を短くしました。また、即時治療により外科的な侵襲が最小限にできます。 その後、残せる歯の虫歯治療・根の治療を行い。土台として使用できる状態まで回復させて、再度患者様と歯の保存・治療箇所について相談しました。予定通り、上顎はインプラント義歯下顎は自身の歯を温存した差し歯治療とにしました。 インプラント義歯(IOD/インプラントオーバーデンチャー) はインプラントで固定を図り、義歯の面積を狭小化させる方法です。 これにより、費用の節約・噛み合わせの強化・審美的回復が効果的に行えます。 インプラントが骨に接合したのを確認後に、新し義歯を作成しました。以前の写真などを参考に納得のいく形で完成に進めました。 治療期間は6ヶ月でした。 患者様は審美面・機能面も満足され、いい宣材写真がとれたとのことです。 |
| 費用 | ※治療内訳備考に記載 |
| デメリット・注意点 | ・定期的なチェックが必要。 ・ナイトガードの装着は常に夜間必要。 |
| 備考 | 検査料:¥0 インプラント治療義歯用(ジェネリック) ¥330,000 × 3 (税込) インプラント義歯 ¥330,000 × 1 (税込) 別途保険診療の費用 |