症例紹介
カテゴリー:
インプラント/インプラント(前歯)
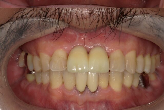
吹田市からお越しの65歳男性 前歯が折れてしまった。グラグラしてしっかりかめない。

Before

After
症例情報
| 症状 | 「前歯が突然折れてしまい、見た目が気になって人前で話すのがつらい」 「差し歯が取れて、もう治らないと言われた」 前歯は見た目・発音・表情に大きく関わるため、“ただ噛めればいい”治療では満足できない部位です。 |
|---|---|
| 年齢・性別 | 65歳・男性 |
| 治療期間 | 4ヶ月 |
| 治療方法 | 【診断】 検査の結果、歯根が縦に破折しており保存が困難な状態でした。 また、前歯部は骨や歯ぐきが薄く、抜歯後に放置すると歯ぐきが下がり、見た目が大きく崩れるリスクがありました。 【治療方針】 治療の選択肢として以下を説明しました。患者様のご希望は、 ・見た目をできるだけ自然にしたい。 ・取り外しの入れ歯は避けたい ・周囲の歯を削りたくない これらを踏まえ、 前歯部インプラント治療を選択しました。 審美性を重視する部位のため、 ・抜歯後の骨吸収を最小限に抑える処置 ・歯ぐきのラインを整える処置 ・周囲の歯と色調・形態を合わせた被せ物 を計画的に行いました。 【治療内容】 ・折れた歯を丁寧に抜歯。必要に応じて骨や歯ぐきのボリュームを調整 ・即時にインプラントを埋入。骨造成。 ・治癒期間後、仮歯で形態・見た目を微調整 ・最終的な被せ物を装着 ・仮歯も当日に装着。 手術は局所麻酔で行い、術中・術後ともに強い痛みはなく、翌日から通常の生活を送っていただけました。 ■ 担当医より 前歯のインプラント治療は、奥歯よりも難易度が高く、設計力と経験が結果を大きく左右します。 ・ただ歯を入れるだけ ・ただ噛めるようにするだけ ではなく、 “その人の顔に合った前歯”を作ることが重要です。 当院では、機能性だけでなく、「見た目」「将来の歯ぐきの安定」まで考えた治療計画を行っています。 |
| 費用 | ※治療内訳備考に記載 |
| デメリット・注意点 | 定期的なチェック・ナイトガードが必要。 |
| 備考 | 検査料:¥20,000 インプラント治療 ¥440,000×2(税込) 抜歯即時埋入加算 (手術が1回で済む) ¥55,000×2(税込) ※上記に本歯・仮歯やお薬代が含まれます。 ※別途保険診療の費用(定期検診や歯周病治療) ※5年保証代金込み |