症例紹介
カテゴリー:
オールオン4、6
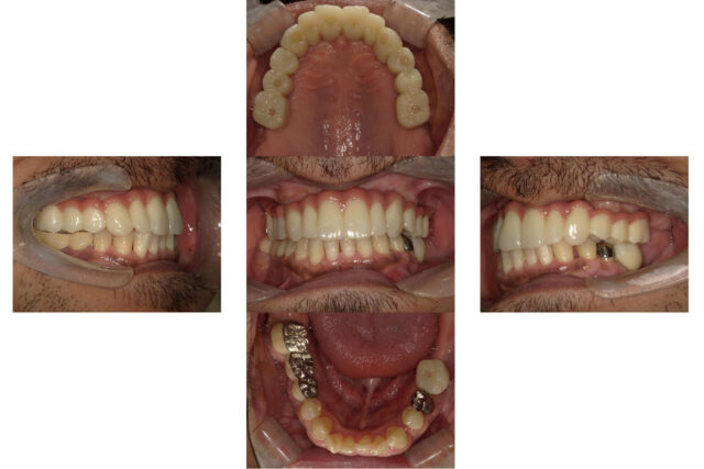
箕面市からお越しの71歳男性・歯がぐらぐらで食事ができない。見た目も気になる。

Before

After
症例情報
| 症状 | 歯がグラグラで食事が困難。見た目も悪く、マスクを外せない。 ※インプラント治療にて短期間で総合治療した症例 |
|---|---|
| 年齢・性別 | 71歳・男性 |
| 治療期間 | 6ヶ月 |
| 治療方法 | ・インプラント治療(自費治療) ・歯周病治療 (保険治療) 治療方針・希望) ①歯周病にて歯が動揺し、食事が困難である。早期に治療を進めたい。 ②入れ歯はなるべくしたくない。 ③何回も通院できない。距離がある。 ④見た目を少しでも良くしたい。旅行で写真を撮りたい。 上記内容を考慮して、 可能な限り通院回数を減らし、再治療の少ない治療を行うことにしました。以下。 ⑴抜歯即時埋入 による治療期間の短縮。 ⑵短期即時荷重 による審美性の改善。義歯(入れ歯)の期間を短くする。 ⑶オールオン6による再治療の減少。 ⑷予後不良歯の抜歯。 まず、⑴抜歯即時埋入 によりインプラント体埋入の時期を短縮しました。通常ならば、抜歯後4ヶ月程経過してから、インプラント体を埋入します。即時埋入は抜歯と同時にインプラント体を埋入し、治療期間を短縮することができます。 ⑴の後に、適正な固定が得れたら短期間で仮歯(プロビジョナル)を装着することが可能です。これにより、入れ歯の期間を短縮できます。⑶オールオン6の設計にすることにより、再治療の可能性を減らすことができます。予後不良歯をおいておくと再治療の可能性がが増加します。残った歯を抜くのは心苦しいですが、再治療を行うと時間・費用が逆に大きく増加します。今回はご決心いただき、再治療の少ないオールオン6の方法を選択されました。 抜歯即時埋入にてしっかり、固定を取れたのが確認できたら仮歯を装着します。それまでは一時的に入れ歯を使用してもらいます。今回は2週間入れ歯を使っていただきました。 仮歯にて噛み合わせ・見た目を改善し、インプラント体と骨が結合するまで4ヶ月間待ちます。その間は歯周病治療にて月1回のケアを行います。 4ヶ月後に再度型取りをし、2個目の仮歯を入れます。この時に、顔のバランスや噛み合わせ・審美性を踏まえ制作に入ります。 2個目の仮歯で納得していただいたら、最終形のセラミックの歯を制作していきます。 今回は最終のセラミックの歯が入るまでに、何個か仮歯を製作しました。その甲斐もあって、患者様は審美的にも機能的にも満足したとご感想をいただきました。今ではしっかり食事もできますし、マスクなしで写真もとることができるようになりました。 今では長持ちするように短い間隔でメンテナンス(掃除)に来ていただいてます。 |
| 費用 | ※治療内訳備考に記載 |
| デメリット・注意点 | ・外科的処置が必要。 ・自身でのセルフケアが重要になります。 ・一時的に入れ歯を入れる。 |
| 備考 | 検査料:¥0 オールオン6インプラント治療 :¥2,420,000(税込) 骨造成: ¥110,000 × 5(税込) 別途保険診療の費用 |