ブログ
セラミック治療とは?メリット・デメリットも解説
こんにちは。吹田市千里山東、阪急千里線「千里山駅」より徒歩30秒にある歯医者「千里山駅前歯科」です。

セラミック治療という言葉を耳にしたことがある方も多いのではないでしょうか。セラミック治療は、虫歯や欠けた歯を修復する場合や銀歯の見た目が気になる場合など、さまざまな場面で検討される治療方法です。
しかし、実際にどのような治療なのか、どのような種類があり、どんな利点や欠点があるのかを正確に理解している方は意外と少ないかもしれません。
この記事では、セラミック治療とは何かという基本から、代表的な治療の種類、さらにはメリット・デメリットまで、幅広く詳しく解説します。セラミック治療を検討している方や歯科治療の選択肢として知っておきたい方にとって、有益な情報となるようまとめました。
セラミック治療とは

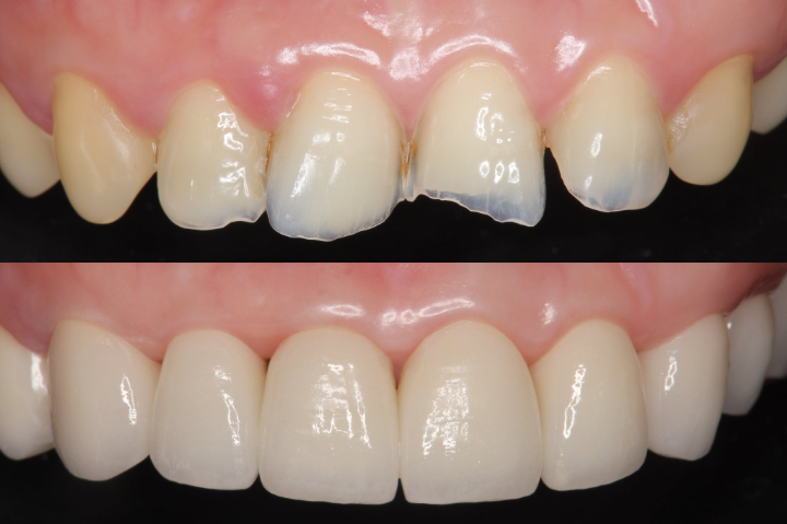
セラミック治療とは、虫歯や欠けた歯、変色した歯などを補修・修復する際に、セラミック(陶材)と呼ばれる素材を使用して、人工歯を作る歯科治療のことを指します。金属を使用した従来の治療と比べて、見た目の自然さや体への優しさなどの点で優れています。
歯科治療で使用するセラミックは非常に硬く耐久性があり、透明感のある白さを持っているため、天然の歯に近い見た目を再現できます。このため、前歯や口元の目立つ部分の修復に選ばれることが多いです。
また、金属アレルギーの心配がない点も、多くの患者さまにとって安心できる要素です。
セラミック治療は、詰め物(インレー)や被せ物(クラウン)、ラミネートべニア、ブリッジなど、さまざまな形で活用されます。歯の欠損や変色、形の不揃いといった悩みに対して、見た目と機能の両面から改善を目指せるため、美容的な目的でも選ばれるケースが増えています。
セラミック治療の種類

セラミック治療にはいくつかの種類があり、治療目的や歯の状態に応じて選択されます。ここでは、主な治療の種類をご紹介します。それぞれの特徴を理解することで、自分に合った治療法を選ぶ際の参考になります。
セラミックインレー
セラミック治療の代表的なものがセラミックインレーです。これは、歯を削った部分にセラミック製の詰め物をはめ込む方法です。主に奥歯の小さな欠損に用いられ、銀歯の代わりに選ばれることが多いです。見た目も自然で金属アレルギーの心配もありません。
セラミッククラウン
次に、セラミッククラウン(被せ物)があります。こちらは歯全体を覆うタイプの治療で、重度の虫歯や神経を取った歯、強度が求められる部位に使用されます。セラミッククラウンは審美性に優れ、前歯や笑ったときに見える部分でも自然な仕上がりになります。
ラミネートベニア
さらに、ラミネートベニアという治療もあります。これは前歯の表面だけを薄く削り、薄いセラミックの板を貼り付ける方法です。歯の形や色、隙間を整えたい場合に使用され、美容歯科の分野でよく活用されています。短期間で美しい見た目を実現できるのが大きな魅力です。
セラミック治療のメリット

セラミック治療は、単なる審美的な選択肢にとどまらず、機能面や健康面においても多くの利点があります。保険診療で使われる金属素材とは異なり、自然な見た目を追求しながら、口腔内の状態をより良く保てる点が特徴です。
そのため、見た目を重視する方はもちろん、長期的な健康や安心感を求める方にも選ばれています。ここでは、セラミック治療の主なメリットについて、具体的に解説していきます。
見た目が自然で美しい仕上がり
セラミックは、天然歯に近い色調や透明感を再現できるため、治療部位が非常に自然に仕上がります。特に、前歯の治療では見た目の違和感が出やすいものですが、セラミックを使用することで周囲の歯と調和しやすく、笑ったときや会話の際にも気になりません。
銀歯のように光って目立つこともなく、美容的な観点からも非常に高い評価を受けています。
金属アレルギーのリスクがない
セラミックは金属を含まない素材のため、金属アレルギーを持つ方でも安心して使用できます。保険診療で使用される金属素材(銀合金やパラジウムなど)は、時間の経過とともにイオン化して体内に吸収され、アレルギー反応を起こすリスクがあります。
セラミックは生体親和性が高く、身体への負担が少ない点で大きなメリットとなります。
虫歯や歯周病のリスクを抑えられる
セラミックの表面は非常に滑らかで、プラーク(歯垢)やステイン(着色汚れ)が付きにくいという性質があります。そのため、口腔内を清潔に保ちやすく、虫歯や歯周病の再発リスクを抑えることができます。
変色しにくく長持ちしやすい
セラミックは耐久性に優れており、適切にメンテナンスを行えば10年以上使用することも可能です。また、樹脂系素材のように経年劣化による変色がほとんどなく、治療当初の白さを長く保つことができます。
セラミック治療のデメリット

セラミック治療は多くのメリットを持つ一方で、すべての人にとって万能な治療法というわけではありません。見た目の美しさや身体への優しさが評価される反面、費用や素材の特性、取り扱いの注意点など、事前に理解しておくべき点も存在します。
特に、自由診療である点や治療後のメンテナンスによっては期待通りの効果が得られない場合もある点は注意が必要です。ここでは、セラミック治療を検討する際に考慮すべき主なデメリットを紹介します。
後悔のない治療選択をするためにも、メリットだけではなく、デメリットについても正しく理解するようにしましょう。
保険が適用されない
セラミック治療は基本的に自由診療となり、健康保険が適用されません。その結果、1本あたりの治療費が数万円から十万円を超えることもあり、経済的な負担が大きくなる場合があります。
複数の歯を同時に治療する場合は合計金額がさらに高額になるため、事前にしっかりと見積もりを取り、予算と照らし合わせることが必要です。
強い衝撃で欠けたり割れたりすることがある
セラミックは硬くて耐久性が高い素材ですが、その反面、割れやすいという性質も持っています。強い衝撃や噛み合わせの力が集中する部分では、欠けたりヒビが入ったりすることがあります。
特に、歯ぎしりや食いしばりの癖がある方はマウスピースの使用など、追加の対策が必要になることもあります。
歯を削る場合がある
セラミッククラウンやラミネートベニアなどの治療では、治療前に健康な歯をある程度削る必要があるため、将来的な歯の寿命への影響を気にする方も少なくありません。治療の選択にあたっては、歯を残したいという希望と、審美性のバランスをどう取るかがポイントです。
メンテナンスが必要
セラミック自体は劣化しにくい素材ですが、装着部分との境目に汚れがたまると、歯茎の炎症や虫歯の原因になります。見た目がきれいなままでも、口腔内の健康状態を保つには日々の丁寧なケアと、定期的な歯科医院でのチェックが欠かせません。
まとめ

セラミック治療とは、見た目の美しさと機能性を両立させた歯科治療の一つであり、従来の治療法とは異なる選択肢を提供してくれるものです。セラミックインレーやセラミッククラウン、ラミネートベニアなどの多様な治療法があり、目的や状態に応じて使い分けられます。
金属アレルギーの心配がなく、自然な仕上がりを求める方に人気ですが、自由診療であるため費用やメンテナンスの面では注意が必要です。
歯の健康を長く保つためには、単に価格だけで判断するのではなく、自分に合った治療法を歯科医師と十分に相談しながら選ぶことが大切です。
セラミック治療を検討されている方は、吹田市千里山東、阪急千里線「千里山駅」より徒歩30秒にある歯医者「千里山駅前歯科」にお気軽にご相談ください。
当院は、患者様を家族のように大切に思い、安心を第一に治療を提供しています。一般歯科だけでなく、矯正治療やインプラント治療などにも力を入れています。
当院のホームページはこちら、保険予約、矯正・インプラントの初診予約も受け付けております。ぜひご活用ください。